


近日,白银市中心医院创伤骨科安勇主任医师团队成功完成我院首例带袢钛板治疗踝关节脱位手术,标志着我院骨科在微创治疗领域又取得了新的突破和进展。
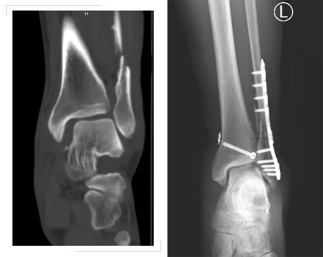
52岁的患者杨某,因下楼时不慎踩空致左踝关节疼痛伴活动受限2小时来院就诊,以左侧踝关节骨折收住创伤骨科,入院经查体、CT检查明确诊断为左侧腓骨骨折、后踝骨折伴踝关节脱位,经过安勇主任医师团队认真研究和充分讨论病情,最终决定为患者行后外侧入路腓骨骨折切开复位钢板内固定+后踝骨折螺钉内固定+踝关节脱位袢钛板内固定手术,手术取得成功。

带袢钢板是一种新型内固定材料,具有“弹性固定”特点,能更好地模拟韧带生理功能,从而提供更稳定的固定效果,此次将带袢钢板应用于下胫腓联合损伤后踝关节脱位的病例,国内各大医院已逐步使用,在我院尚属首例。与传统治疗螺钉内固定的方法相比,使用带袢钢板具有手术操作相对精准、创伤小、恢复快等优点,保留了下胫腓联合的微动功能,更有利于踝关节功能恢复,避免了螺钉松动、断裂及二次手术。
甘公网备案62040302000118号